Skip to main content
Search
Close Search
Menu
ONLYONE
온리원 치과
의료진 소개
병원 둘러보기
진료시간 및 위치
미니쉬
심미치료
앞니 부분 교정
치아미백 & 보톡스
임플란트
수면치료
커뮤니티
네이버 예약
온라인 상담
미니쉬 모델 지원
치료 전후사진
공지사항
이벤트
회원가입
로그인
회원정보
로그아웃
치료 전후사진
제목
임플란트
2025-11-07 16:59
카테고리
임플란트
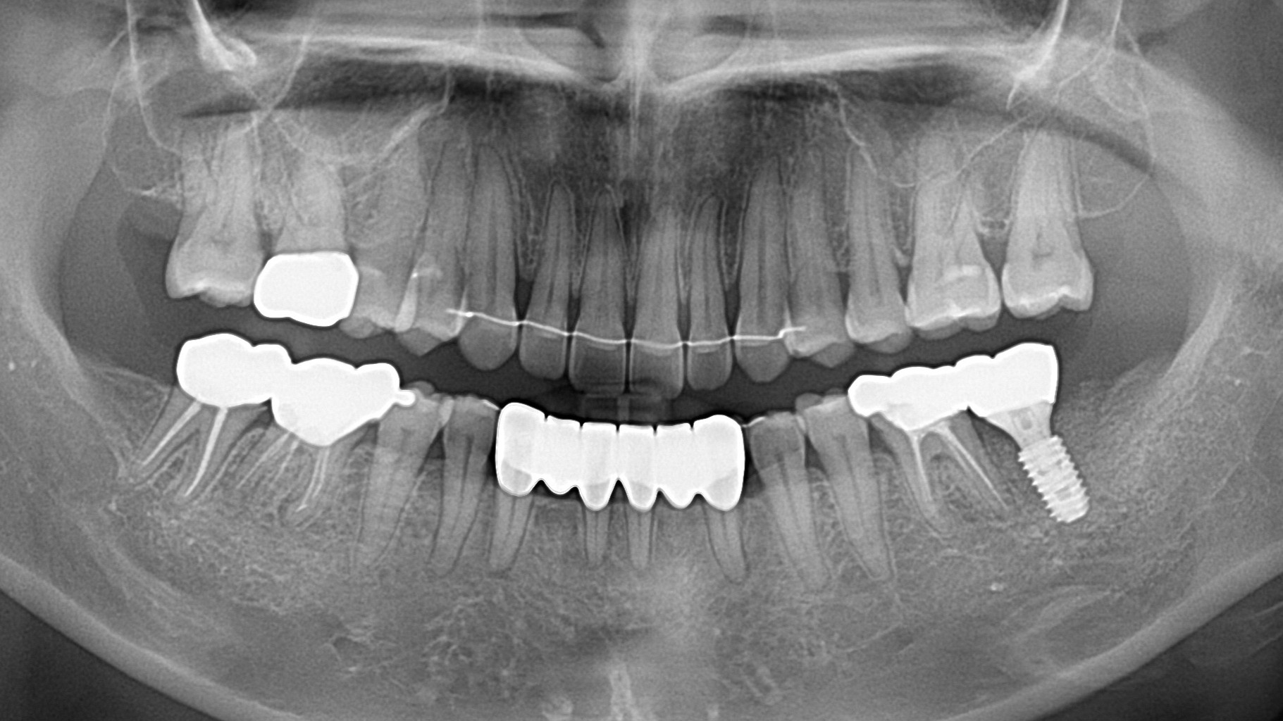
하악 임플란트 케이스
성명: 박** 님
―
치료기간: 임플란트 4개월
치료전: 2025.07.03 ― 치료후: 2025.11.07
동일인이고 저희 병원에서 치료받으신 고객입니다. 동일조건으로 촬영되었고 별도의 조작이 없는 전후사진입니다.
* 치료 후 주의사항 및 부작용 *
개인에 따라 치료 기간이 다를 수 있으며,
부작용이 발생할 수 있으니
의료진의 정확한
진료를 받고 치료를 진행하시기 바랍니다.
목록
Powered by MangBoard
|
워드프레스 쇼핑몰 망보드
Close Menu
ONLYONE
온리원 치과
의료진 소개
병원 둘러보기
진료시간 및 위치
미니쉬
심미치료
앞니 부분 교정
치아미백 & 보톡스
임플란트
수면치료
커뮤니티
네이버 예약
온라인 상담
미니쉬 모델 지원
치료 전후사진
공지사항
이벤트
회원가입
로그인
회원정보
로그아웃
온리원 치과 비급여 진료비용
임플란트 오스템
890,000원
치경부 레진
100,000원
임플란트 디오
590,000원
치석제거 전악
60,000원
전치부 지르코니아 크라운
600,000원
치석제거 부분
30,000원
구치부 지르코니아 크라운
500,000원
확인서
3,000원
포스트
250,000원
진료 기록지 사본 1~5장
1,000원
세라믹 인레이
350,000원
진단서( 질병)
10,000원
레진 1면
120,000원
CLIPPY M
4,000,000원
레진 2면
150,000원
CLIPPY C
4,500,000원
레진 3면
180,000원
임플란트 오스템
890,000원
임플란트 디오
590,000원
전치부 지르코니아 크라운
600,000원
구치부 지르코니아 크라운
500,000원
포스트
250,000원
세라믹 인레이
350,000원
레진 1면
120,000원
레진 2면
150,000원
레진 3면
180,000원
치경부 레진
100,000원
치석제거 전악
60,000원
치석제거 부분
30,000원
확인서
3,000원
진료 기록지 사본 1~5장
1,000원
진단서( 질병)
10,000원
CLIPPY M
4,000,000원
CLIPPY C
4,500,000원
× 닫기